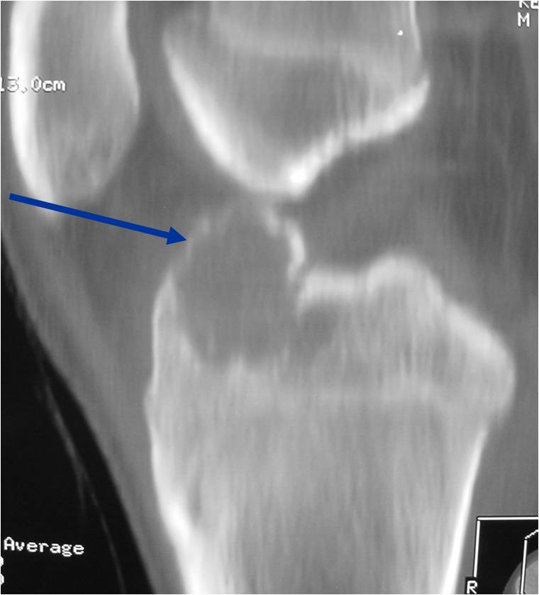
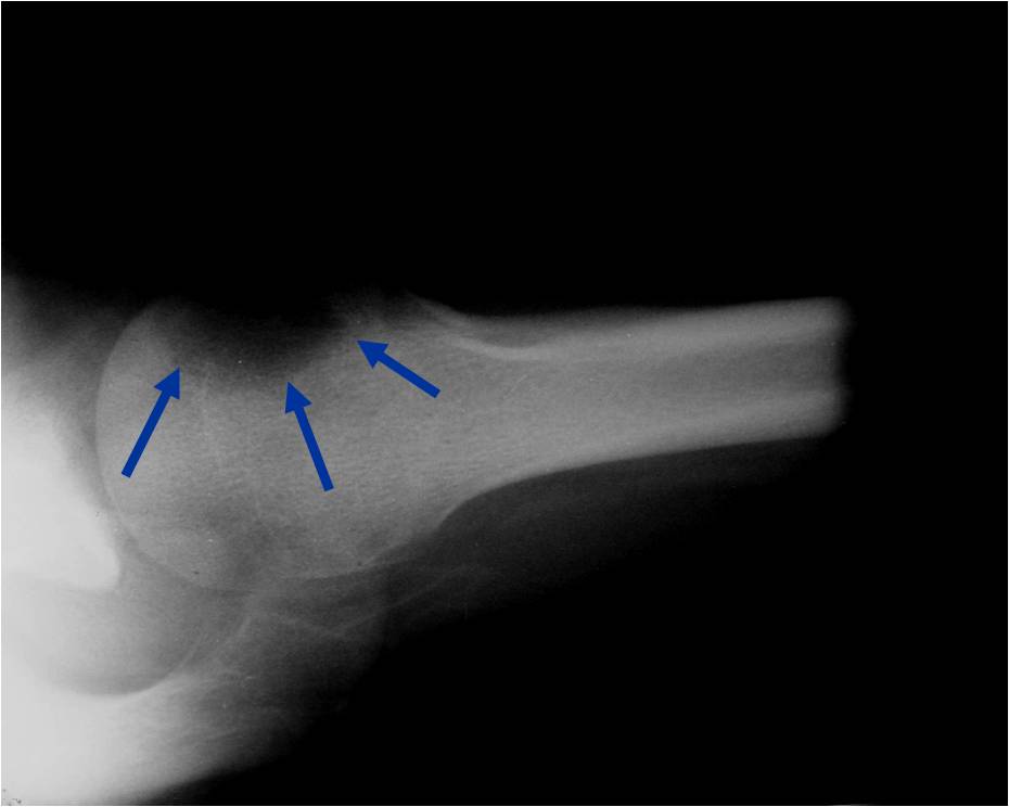
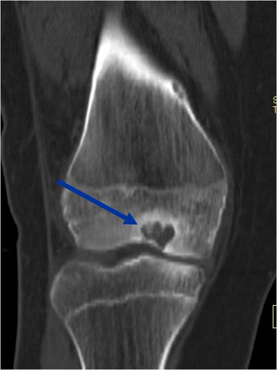
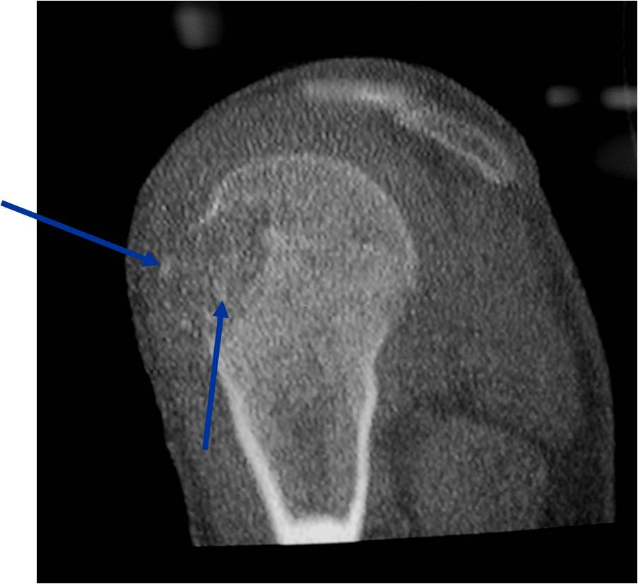
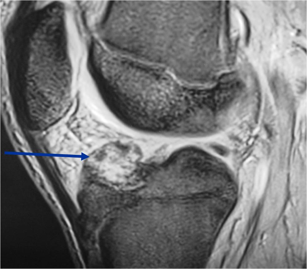
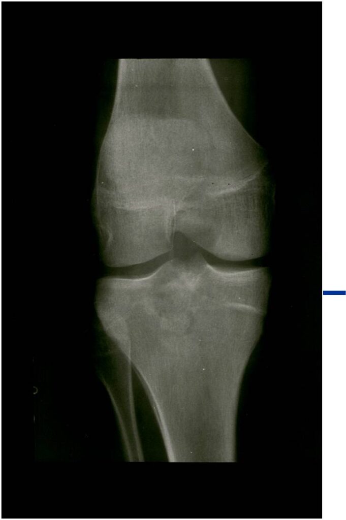
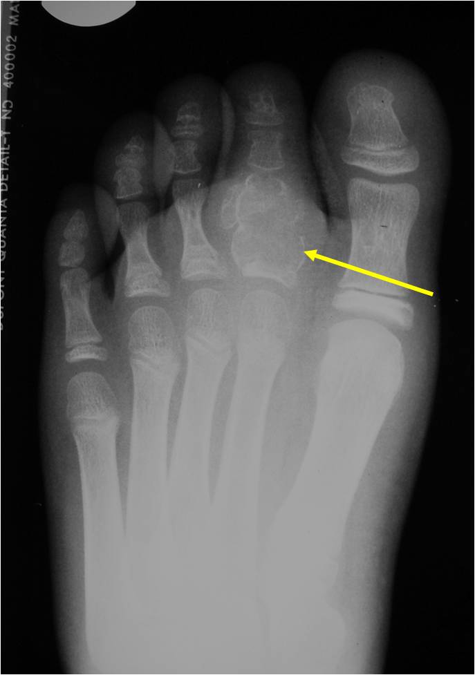
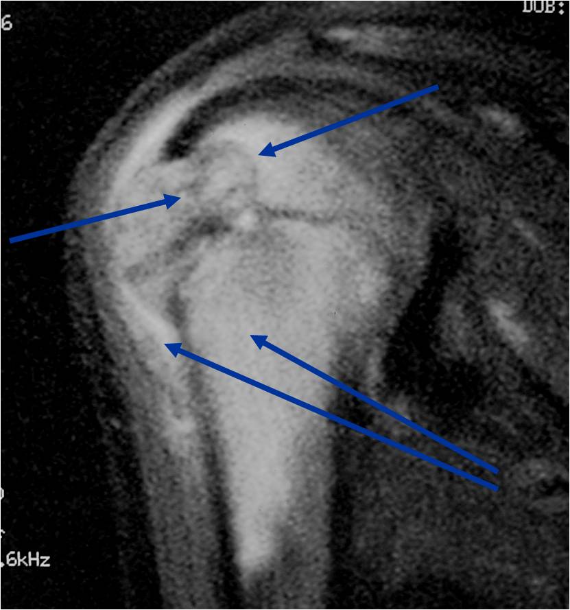
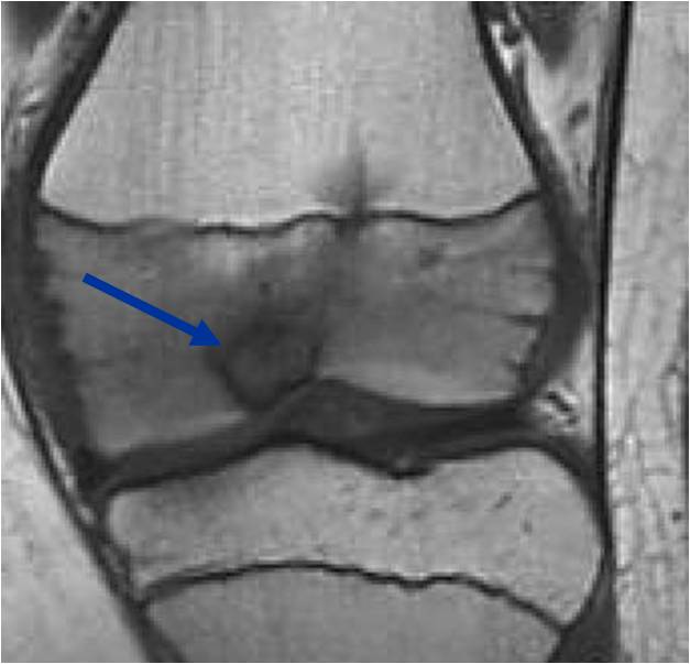
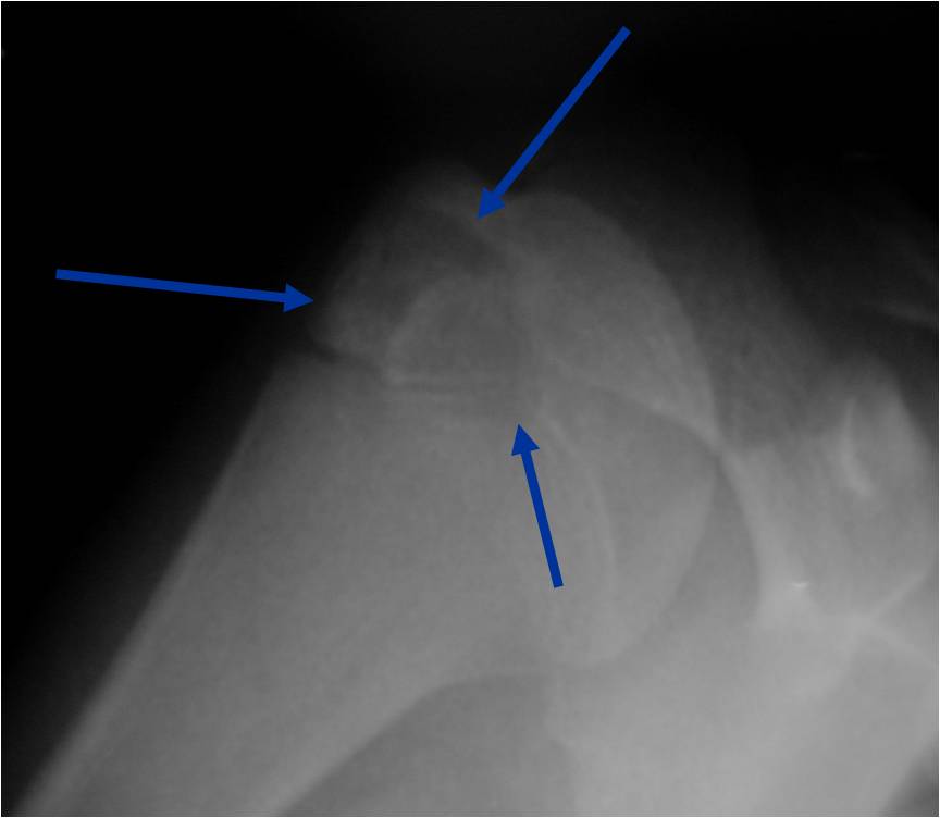
General Information Enchondroma is a benign indolent intramedullary hyaline cartilage neoplasm Accounts for 10% of all benign osseous tumors Limited growth, most lesions are less than 5 cm in maximal dimension Bones grow from a cartilaginous growth plate that...