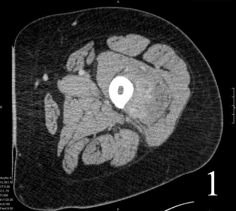
GENERAL INFORMATION Tumoral calcinosis is a very rare entity, characterized by large tumorlike calcium deposits and painless mass, arising near to the articular soft tissue areas. Common areas affected are elbows, hips, knees rarely involve hands and feet. No obvious...