GENERAL INFORMATION
Low Grade Fibromyxoid Sarcoma (LGFS) is a low grade sarcoma with fibrous and myxoid areas. More frequent in young to middle age patients with slight male predominanc.
CLINICAL DATA
The trunk and deep soft tissues of the lower extremities are the most common location. Patients usually present with a painless and slow growing mass.
RADIOGRAPHIC PRESENTATION
On radiographs, Low Grade Fibromyxoid Sarcoma presents as a discrete mass with soft tissue density without mineralization. MRI shows a well circumscribed heterogeneous mass, primarily hypo or isointense to muscles on T1-weighted image. The majority of tumors demonstrate heterogeneous signal intensity on T2-weighted images, correlating with the histological characteristics of low grade fibromyxoid sarcoma. Although 48 % of the patients demonstrate hyperintense signal and the rest of patients present admixed of hypo and Isointense signals (Fig. 1-5).


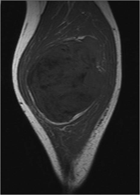
Fig. 1 & 2: MRI Axial (Fig. 1) and Coronal T1-weighted MR image (A) of a Low Grade Fibromyxoid Sarcoma demonstrates a well-defined mass of intermediate signal intensity with muscle and central areas of hypo intensity in the posterior compartment of the calf.



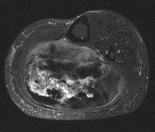
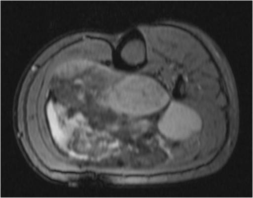
Fig. 3-5. MRI Axial (Fig. 3) and Coronal (Fig. 4) T2 –weighted fat-suppressed image heterogeneously high signal intensity areas admixed with hypo and isointense areas. T1-weighted post contrast fat-suppressed images (Fig. 5) show heterogeneous signal and enhancement within the tumor.
PATHOLOGY
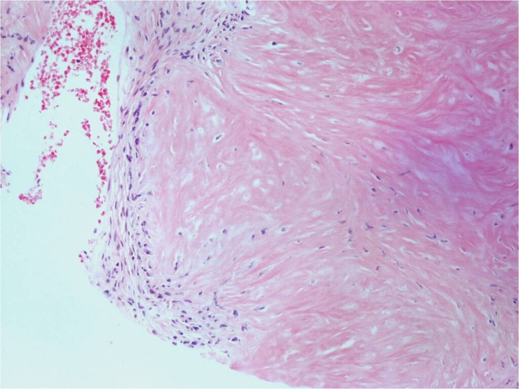
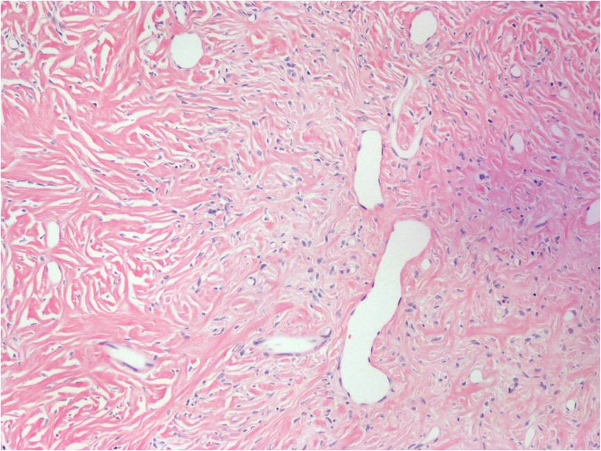
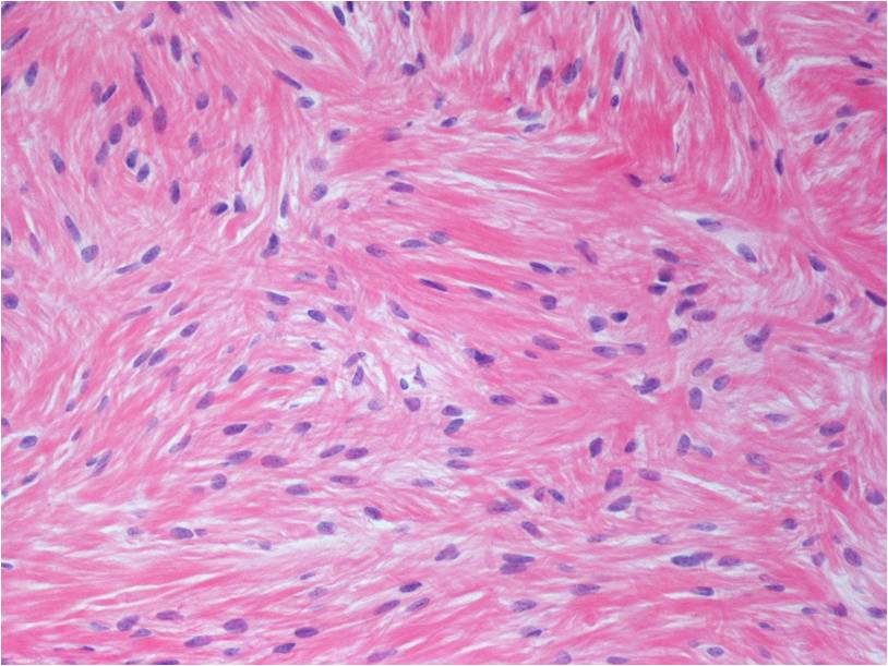
Low Grade Fibromyxoid Sarcoma is a low-grade malignancy by definition. Microscopically, tumors usually have myxoid and fibrous areas, admixed with hypo and hypercellular areas. Low grade fibromyxoid sarcoma is typically described as fascicular or whorled pattern of growth, with heavily collagenized stroma surrounded by epithelioid fibroblastic cells. Recurrences may show increased cellularity and mitotic activity (Fig. 6-8).



Fig. 6-8: Microscopic Pathology. Low (Fig. 5), intermediate (Fig. 6) and high (Fig. 7) power magnification H&E slides. Fusiform or spindled cells with moderate cellularity are easily distinguished. Diffuse whirled pattern is seen in all magnifications. Some areas demonstrate abrupt transition from collagenous areas to myxoid areas. (Fig. 5 & 6)
PROGNOSIS
Long term follow up reported local recurrence in 64%, metastasis in 45% of the patients mostly to lungs, death from disease in 42%.
TREATMENT
The mainstay of treatment for Low Grade Fibromyxoid Sarcoma is surgical removal via wide or radical resection. Amputation for unresectable tumors.