General Information
- Periosteal osteosarcoma is a distinct type of surface osteosarcoma (arises from the surface of the bone/periosteum)
- It arises from the inner layer of the periosteum and therefore elevates the periosteum and produces a periosteal reaction
- Periosteal osteosarcoma is primarily a chondroblastic tumor (composed mostly of cartilaginous tissue) that produces osteoid or bone
- It has a predilection for the diaphysis of long bones particularly the tibia
- Periosteal osteosarcomas are intermediate grade tumors as compared to conventional (most common type) osteosarcomas that are high grade. This means that periosteal osteosarcomas have less risk of metastasizing (spreading) and are associated with a better prognosis than conventional osteosarcomas. Periosteal osteosarcomas elevate the periosteum which causes a periosteal reaction to develop. They rarely invade the medullary canal of the bone. (This is different from a parosteal osteosarcoma which is a low grade, surface fibroblastic sarcoma that produces bone/osteoid, arises from the outer layer of the periosteum and therefore does not elevate the periosteum nor cause a periosteal reaction.)
- Periosteal osteosarcomas constitute <2% of all osteosarcomas
Clinical Presentation
Signs/Symptoms:
- Limb swelling with or without pain for weeks to months before diagnosed
- 50% of patients are symptomatic for less than 6 months
- 95% of patients are symptomatic for less than 1 year
- Sex Predilection: Male/Female 1:1.7
Age:
- Most patients are 10-20 years of age; similar to conventional osteosarcoma; different from parosteal osteosarcoma that occurs primarily in patients from 20-40 years of age.
Sites:
- Most commonly arises from the diaphysis of the tibia or femur (>85%); humerus, radius, ulna
Radiology
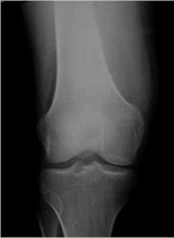
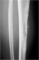
Plain X-Rays:
- Diaphyseal lesion on external surface of bone; medullary canal uninvolved
- Radiolucent mass extending into surrounding soft tissues
- Saucerized cortex with chondroblastic soft tissue mass that is usually primarily radiolucent on plain X-rays
- Periosteal reaction usually most evident feature on surface of bone (Hair on End or Sunburst appearance with spiculated pattern of calcification oriented perpendicular to the bone)
- Cortical thickening at margins of erosion (40%)
- Rarely may have Codman’s triangle
- Spiculated or sunburst periosteal reaction (due to periosteal elevation)
- Partial matrix mineralization may be seen consistent with
- chondroblastic nature
- Rare intramedullary invasion
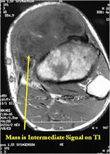
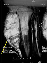
MRI:
- Mass on surface of bone
- Intermediate signal on T1 weighted images and high signal on T2 consistent with cartilage
- Usually no intramedullary invasion but may see slight erosion or saucerization of cortex
- Periosteal reaction evident on MRI as very low signal on T1 and T2 weighted images
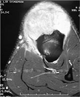
CT Scan:
- Periosteal reaction evident and mass on surface of bone
- May demonstrate subtle mineralization in tumor













Pathology
Gross Pathology
- Periosteal osteosarcomas are usually sharply defined
- Attached to outer surface of cortex
- May have areas of subtle cortical erosion
- Cartilage usually visible and lobular
- Invasion into nearby soft tissue/muscle
- Bone spicules (periosteal reaction) extend from underlying cortex




Microscopic Pathology
- Periosteal osteosarcomas demonstrate cartilage differentiation.
- The cartilage appears intermediate to high grade.
- There is prominent nuclear atypia
- There may be poorly differentiated lobules of cartilage separated by malignant appearing spindle cells
- Osteoid production by neoplastic cells is present
- Osteoid is usually deposited in lace-like manner in between malignant spindle cells
- Bone spicules have osteoblastic rimming and are reactive in nature (periosteal reaction)
- Dense areas of calcification
- Scant fibroblastic tissue may be present



- Differential Diagnosis of Periosteal Osteosarcoma
- Periosteal Chondrosarcoma
- Usually involves metaphysis
- Ring and arc calcifications unlike periosteal osteosarcoma that is usually radiolucent and has radiating spicules of reactive bone (periosteal reaction)
- Periosteal chondrosarcoma is usually without a periosteal reaction
- Periosteal chondrosarcoma consists of low grade cartilage whereas periosteal osteosarcoma is higher grade with foci of malignant spindle cells and osteoid production
- No osteoid production by a periosteal chondrosarcoma
- Conventional Chondroblastic Osteosarcoma with Extraosseous
- Extension
- Differentiated radiographically from periosteal osteosarcoma
- High Grade Surface Osteosarcoma
- Highly pleomorphic and osteoblastic
- Parosteal Osteosarcoma
- Parosteal osteosarcomas are heavily mineralized metaphyseal lesions that are low grade fibroblastic tumors that produce osteoid or bone
Biological Behavior
- Periosteal Osteosarcomas have a 15% metastatic rate
- Most metastasize primarily to the lungs
Treatment/Surgery
- Treatment usually includes chemotherapy and surgery although the benefit of chemotherapy is controversial









Surgery:
- Most tumors can usually be treated with a wide, limb sparing, en bloc resection and reconstruction
- Rarely, very large or recurrent tumors may require amputation
Prognosis
- 15-25% metastatic rate to lungs
- 85-90% 5 year survival
- Survival is much better than conventional osteosarcoma