GENERAL INFORMATION
Pigmented villonodular synovitis (PVNS) is described as a benign villous or nodular proliferation of synovium. Pigmented villonodular synovitis occurs commonly in the third and fourth decades of life. Also known as diffuse tenosynovial giant cell tumor. It is characterized by the onset of monoarticular pain and swelling, the knee being the most frequently affected (80%). Tendon, bursa, or another joint can be infrequently involved. The synovial fluid is characteristically brown (old blood) or hemorrhagic, and the plain radiograph is usually normal but erosions into the bone and subchondral cyst can occur. PVNS is best diagnosed by synovial biopsy. Microscopic examination reveals a characteristic histology, including marked synovial cell hyperplasia and subsynovial invasion by masses of polygonal cells, multinucleated giant cells, and lipid-filled macrophages. Hemosiderin deposits are all around the tissue previously took for biopsy. The Hemosiderin have a characteristic appearance on magnetic resonance imaging scans, with nodular foci of decreased signal on both T1- and T2- weighted images. A synovectomy is recommended although recurrence is common.
CLINICAL DATA
- The incidence is close to 1.8 per million.
- Proliferative disorder of synovium of joint, tendon or bursa
- Young adults 3rd and 4th decads
- Two types
- Diffuse (15-25%)
- Localized (75-85%)
- Symptoms – pain, swelling, decreased ROM
Differential diagnosis
- Hemophilia
- Synovial hemangioma
- Osteoarthritis
- Rheumatoid arthritis
CLINICAL PRESENTATION
Signs/Symptoms
- Slow growing mass
- Insidious onset of pain
- Monoarticular process
- May be tender to palpation
- Long-standing cases there may be destruction of cartilage, secondary degenerative change and pain characteristically in diffuse PVNS.
- Local PVNS
- Sometimes pain
- More frequently present with catching, locking and instability.
- Synovial fluid aspiration is a very common way to promptly diagnose this tumor (brownish-stained bloody fluid)
Prevalence
- No sex predilection
Age
- 3rd and 4th decades of life.
- Extremely rare in children.
Sites
- Localized form
- Knee (anterior compartment)
- Diffuse form (most or all of the joint synovium)
- Knee (60-80%)
- Hip (4-16 %)
- Ankle
- Shoulder
- Elbow
RADIOGRAPHIC PRESENTATION
Plain X-ray
- Radiographs may be normal (70% of the cases)
- Some cases can show erosions, and reactive sclerotic bone
- A very common non pathognomonic sign in plain radiographs is the reciprocal bony erosions on opposite sides of the joint
CT scan
- Demonstrates a soft tissue mass
- High attenuation due to the hemosiderin within the mass.
- The synovial proliferation enhances following administration of contrast.
- Show increased attenuation relative to muscle
- Joint effusion may also be seen
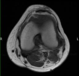
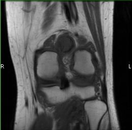
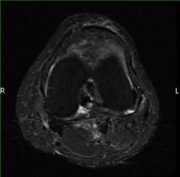
MRI (Fig. 1-10)
- Periarticular or synovial nodular mass with varying degrees of bone erosion.
- Nodular lesion with areas of hemosiderin (low signal on all sequences) and hemorrhage.
- On fat suppress images the tumor is high signal and hemosiderine cannot be seen.
- Joint effusions and bony erosions are well demonstrated. As with CT, contrast enhancement is typical.










Fig. 1-10: Magnetic Resonance of a PVNS of the knee shows a synovial mass with minimal bone erosion of the medial articular plate. On T1W and T2W images shows a tumor with low intensity areas (hemosiderin) and hemorrhage. Joint effusion is well demonstrated. Post contrast images demonstrate an irregular pattern of enhancement.
PATHOLOGY
Gross
Gross
- Localized (Fig. 11A)
- Pedunculated
- Lobular
- Large and bulky
- White to brown
- May be yellow
- Diffuse (Fig. 11B)
- Larger than 5 cms
- Villous pattern is lacking in extraarticular tumors.
- Other possible appearance is Multinodular tumor with white, yellowish and brownish areas.
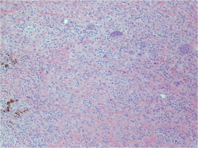
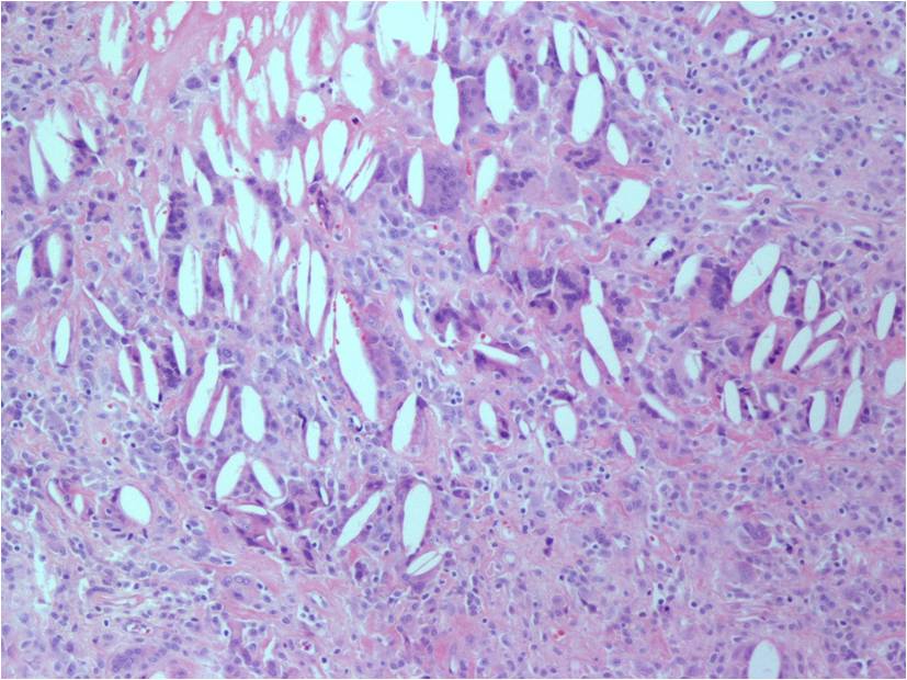
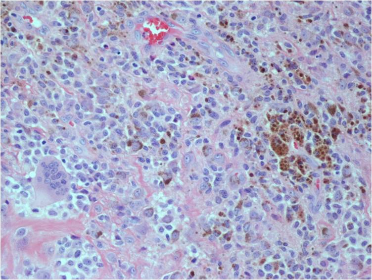
Microscopic (Fig. 12-14)
- Highly cellular
- Lipid Laden Macrophages
- Small polygonal
- Scant cytoplasm
- Spindled cells (with pale cytoplasm)
- Xanthoma cells
- Multinucleated giant cells
- Prominent chronic inflammatory cells
- Foams cells are observed in the periphery of the lesions.
- Hemosiderin pigment prominent
- Stromal and fibroblast cell proliferation
- Numerous cleft-like (alveolar) spaces
- Variable degree of villous, nodular and pigmentation (hemosiderin) and inflammatory components
- Frondlike synovial projections
- Both forms of the tumor are associated to a translocation t(1;2)(p13;q37) with a CSF-COLA3 gene fusion.





Fig. 12-14: Highly cellular sheet of spindled cells, multinucleated giant cells and chronic inflammatory cells with variable degree of pigmentation (hemosiderin). Numerous cleft-like spaces or ‘pseudoglandular’ spaces, surrounded by xanthoma cells. Cleft-like spaces are commonly seen in diffuse-type giant cell tumors.
PROGNOSIS
Biological Behavior
- Aggressive proliferation
- Destroys cartilage
- Can result in severe arthritis
- Invades bone
- May totally destroy the bone
- Extends beyond joint into adjacent nearby tissue
- Recurrence rate for local PVNS is 8% and 80 to 100% for diffuse PVNS with surgery alone.
- Rare metastases
- Malignant change or varieties possible, but extremely rare.
TREATMENT (Fig. 15-18)
- Aggressive open synovectomy (Diffuse PVNS)
- Rarely, amputation necessary
- High recurrence rates
- More limited treatment possible (Local PVNS)
- For solitary nodules
- Arthroscopy partial synovectomy
- Radiotherapy may also be considered in conjunction with surgery
- Moderate doses may improve local control




Fig. 15-18: Posterior approach of the knee, demonstrates the resection of PVNS from the popliteal area of the knee. Extensive dissection of the neurovascular structures was previously carried out. The PVNS was surrounding the blood vessels and nerves in the leg.